Chicago Cosmetic Dentist

Smile Gallery

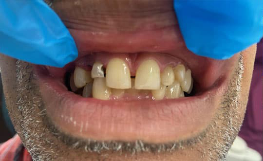
Below is one example of a full mouth reconstruction case done by Dr. Marianthi

TruBlu Dentistry | Implant Dentistry, Digital Radiography and Oral Cancer Screening
TruBlu Dentistry | Dental Fillings, Teeth Whitening and E4D

Before

TruBlu Dentistry | Botox reg , E4D and CBCT

After

Cosmetic Dental Office 60633

Before

Invisalign Chicago

After

Family Dentist in Chicago

Before

Dental Implants Dentist in Chicago

After

Family Dentist in Chicago

Before

Chicago Cosmetic Dentist

After

Dental Implants Dentist in Chicago

Before

Cosmetic Dental Office 60633

After

Dental Office in Chicago

Before

Dentist in Chicago

After

Chicago Cosmetic Dentist

Before

Implant Restorations Chicago

After

Contact Us

Submit

Thank You!

We appreciate you taking the time to visit our site. We'll review your message and be in touch with you soon.

Continue
Dentist in Chicago

Explore More

Get in Touch

Address:

13247 S Baltimore Ave, Chicago, IL 60633

Hours of Operation

Monday
9:00 am - 6:00 pm
Tuesday
10:00 am - 7:00 pm
Wednesday
9:00 am - 4:00 pm
Thursday
9:00 am - 6:00 pm
Friday
9:00 am - 3:00 pm
*every other
Saturday
9:00 am - 3:00 pm
*every other